Foods Good For Immune System

Hand Foot And Mouth Tongue

Infants and young children are most susceptible but it can sometimes affect adults and older children. The infection may rarely affect adults.

Nhs 111 Wales Health A Z Hand Foot And Mouth Disease

Hand foot and mouth disease HFM is a common mild and short-lasting viral infection most often affecting young children.

Hand foot and mouth tongue. Infection causes a. These can be painful and make it. A person can reduce their risk of.

Hand foot and mouth. It causes blisters on the hands and feet in the mouth and often in the nappy area. It is generally only a mild disease that lasts seven to ten days.

8272020 Hand foot and mouth syndrome is clinical pattern consisting of a rash on the hands and feet and in the mouth. Hand foot and mouth syndrome is caused by various viruses including several types of Coxsackieviruses. Other symptoms include sore throat decreased appetite irritability and or fever.

Not wanting to eat. 11162018 But hand foot and mouth disease is also risky for healthy pregnant women because it increases the risk of stillbirth. It is characterised by blisters on the hands feet and in the mouth.

12222020 Hand foot and mouth disease is a common viral infection. Pregnancy Week by Week Trimesters. 2112021 Hand foot and mouth disease HFMD is a highly contagious infection.

Its most common in young children particularly those under 10 but can affect older children and adults as well. Hand foot and mouth disease can be unpleasant but it will usually clear up by itself within 7 to 10 days. Hand foot and mouth disease HFMD is caused by a virus usually from the coxsackie group of enteroviruses particularly coxsackie virus A16.

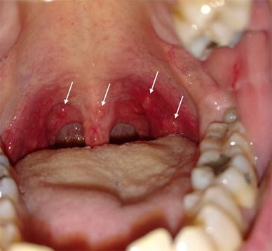
342021 Hand Foot and Mouth Disease HFMD is caused by the Coxsackie cok-SACK-e virus germ. Ulcers appear in the mouth and on the tongue. The first signs of hand foot and mouth disease can be.

After a few days mouth ulcers and a rash will appear. Hand foot and mouth disease HFMD is a common infection in children that causes sores called ulcers inside or around their mouth and a rash or blisters on their hands feet legs or buttocks. HFMD is most often caught by children under 10 years old but people of any age can get it.

Check if its hand foot and mouth disease. This article presents a brief summary and review of the etiology clinical features diagnosis prognosis and. HFMD blisters may form in the mouth and on the tongue hands feet or.

Hand-foot-and-mouth disease HFMD is a febrile disorder usually caused by coxsackievirus A16 enterovirus 71 or other enteroviruses. 2262020 Hand foot and mouth disease is a common infection that causes mouth ulcers and spots on the hands and feet. Children with HFMD usually get a fever first then red spots with blisters in the middle.

5152020 Hand-foot-and-mouth disease is a common viral disease that presents in primary care. Also late in pregnancy the. Its caused by viruses from the Enterovirus genus most commonly the.

Hand Foot And Mouth Disease Images Dermnet Nz

About Hand Foot Mouth Disease Haitchefemdee

Hand Foot And Mouth Disease In Mouth Picture Image On Medicinenet Com

Hand Foot And Mouth Disease Hfmd Infectious Diseases Msd Manual Professional Edition

Hand Foot And Mouth Disease Hfmd Olasmile

Hand Foot And Mouth Disease Health Information Bupa Uk

Hand Foot And Mouth Disease In An Adult Springerlink

Herpangina Symptoms Causes And Treatment

Australia Hand Foot And Mouth Disease Warning For The Far North Outbreak News Today

Hand Foot And Mouth Disease Differential Diagnosis Wikidoc

Hand Foot And Mouth Disease What You Need To Know

Hand Foot And Mouth Disease Nhs

Hand Foot And Mouth Disease Tongue

Hand Foot And Mouth Disease Stock Image C026 3439 Science Photo Library


Comments